Các vấn đề về hệ hô hấp trên heo thường không chỉ do một tác nhân gây bệnh duy nhất mà là sự kết hợp của nhiều yếu tố, được gọi chung là “bệnh hô hấp phức hợp trên heo” (PRDC). Trong đó, Mycoplasma hyopneumoniae (M. hyopneumoniae) đóng vai trò quan trọng, là tác nhân chính gây ra nhiều bệnh đồng nhiễm trên hệ hô hấp.
M. hyopneumoniae thường kết hợp với nhiều virus khác như PRRSV (Hội chứng rối loạn sinh sản và hô hấp), PCV2 (Circovirus type 2), SIV (Virus cúm heo), và nhiều vi khuẩn cơ hội như Pasteurella multocida, Bordetella bronchiseptica hay Glaesserella parasuis, làm gia tăng tác động và kéo dài thời gian bệnh. Những tác nhân này khi kết hợp sẽ gây thiệt hại nghiêm trọng cho các trang trại heo.

Hình 1: Sự kết hợp các bệnh lý được tìm thấy trong các ca nhiễm PRDC được chẩn đoán trong bốn năm qua bởi Dịch vụ giải phẫu bệnh lý thuộc Khoa Khoa học Thú y của Đại học Murcia.
Một ví dụ điển hình là sự đồng nhiễm giữa M. hyopneumoniae và PRRSV, hai tác nhân thường xuyên xuất hiện cùng nhau. Các nghiên cứu cho thấy gần như tất cả các ca bệnh dương tính với PRRSV cũng có kết quả dương tính với M. hyopneumoniae. M. hyopneumoniae còn làm gia tăng phản ứng viêm ở phổi thông qua việc kích hoạt cytokine IL-1β, IL-8, TNF-α, và IL-10, kéo dài tình trạng viêm phổi do PRRSV gây ra.

Hình 2. Phổi heo đồng nhiễm M. hyopneumoniae and virus PRRS. Phổi không bị xẹp với các vùng bệnh tích màu nâu đỏ rải rác khắp nhu mô, các bệnh tích điển hình của PRRS, đồng thời có các vùng nhục hóa màu đỏ ở phần rìa phổi, do nhiễm M. hyopneumoniae.
Một sự kết hợp khác là đồng nhiễm giữa M. hyopneumoniae và PCV2. Các nghiên cứu chỉ ra rằng M. hyopneumoniae làm tăng mức độ nghiêm trọng của các tổn thương ở phổi do PCV2 gây ra, đồng thời thúc đẩy sự nhân lên của virus trong các mô. Điều này dẫn đến việc gia tăng tần suất xuất hiện của PMWS (Hội chứng còi cọc sau cai sữa), một bệnh lý gây tổn thất nặng nề cho các trang trại.

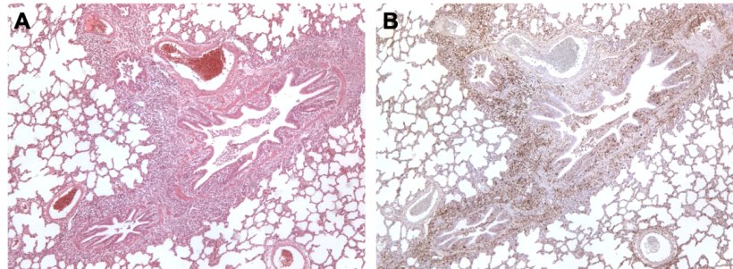
Hình 3. Phổi heo bị nhiễm đồng thời bởi M. hyopneumoniae and PCV2. A: Khu vực tăng sinh lympho quanh tiểu phế quản do M. hyopneumoniae gây ra. B: Lượng lớn kháng nguyên PCV2 trong cùng khu vực tăng sinh lympho này.

Hình 4. Phổi heo bị đồng nhiễm M. hyopneumoniae và SIV. Bệnh tích nhục hóa ở các vùng rìa phổi và một số vùng nhỏ hơn ở thùy hoành cách mô có màu đỏ. Trong các bệnh tích ở vùng rìa phổi này, có cả các bệnh tích do M. hyopneumoniae và SIV, khiến cho việc phân biệt chúng bằng bệnh tích đại thể trở nên bất khả thi.

Hình 5: Phổi heo đồng nhiễm với M. hyopneumoniae và A. pleuropneumoniae. Bệnh tích nhục hóa vùng rìa phổi có màu nâu đỏ, do nhiễm M. hyopneumoniae, và bệnh tích hình bầu dục kèm xơ hóa màng phổi và vùng xuất huyết ở thùy hoành cách mô, tương ứng với giai đoạn mãn tính của bệnh hoại tử do A. pleuropneumoniae gây ra.
M. hyopneumoniae cũng tăng cường khả năng gây bệnh của SIV, đặc biệt là với các chủng có độc lực thấp. Các thí nghiệm cho thấy khi heo nhiễm SIV sau khi đã nhiễm M. hyopneumoniae, các dấu hiệu lâm sàng và bệnh tích phổi trở nên nghiêm trọng hơn nhiều. Ngoài ra, M. hyopneumoniae cũng kết hợp với các vi khuẩn khác, cả tác nhân sơ khởi như Actinobacillus pleuropneumoniae và các vi khuẩn cơ hội, để gia tăng tác động lên phổi.

Hình 6. Phổi heo đồng nhiễm với M. hyopneumoniae và P. multocida. Các khu vực nhục hóa vùng rìa phổi có màu nâu đỏ, nhô lên so với phần còn lại của nhu mô phổi, tương ứng với bệnh tích do P. multocida gây ra. Ở thùy đỉnh và phần rìa của thùy hoành cách mô có các vùng nhục hóa lõm màu đỏ tương ứng với bệnh tích do M. hyopneumoniae gây ra.
Do đó, kiểm soát M. hyopneumoniae là chìa khóa giúp giảm thiểu tác động của PRDC. Hiện nay, nhiều phương pháp đã được nghiên cứu và áp dụng như tiêm vaccine, cải thiện quản lý môi trường, và sử dụng các biện pháp phòng ngừa thích hợp. Nếu kiểm soát tốt M. hyopneumoniae, không chỉ các bệnh lý hô hấp trên heo sẽ giảm đi mà cả lợi nhuận của các trang trại cũng sẽ được cải thiện rõ rệt.

