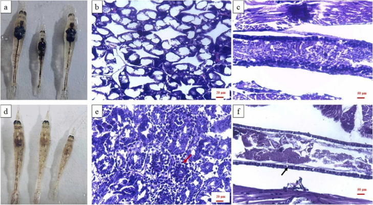
[Tạp chí Người Nuôi Tôm] – Gần đây, hiện tượng tôm hậu ấu trùng chết...
[Tạp chí Người Nuôi Tôm] – Nghiên cứu này đã đánh giá tác động của...
[Tạp chí Người Nuôi Tôm] – Cùng với việc gia tăng diện tích nuôi, mật...
[Tạp chí Người Nuôi Tôm] – Cùng với sự phát triển của ngành tôm, việc...
Tháng 10/2023, xuất khẩu (XK) tôm Việt Nam đạt 322 triệu USD, giảm 8% so...
Toàn tỉnh hiện có trên 6.266 ha nuôi tôm thâm canh và siêu thâm canh,...
Chinhphu.vn) – Thay mặt Bộ Chính trị, Tổng Bí thư Nguyễn Phú Trọng vừa ký...
– Để hỗ trợ các hộ nông dân trồng chè trên địa bàn tỉnh Thái...
Trong nuôi trồng thủy sản vấn đề phòng bệnh được đặt lên hàng đầu và...
Hệ số chuyển đổi thức ăn FCR trong nuôi cá, tôm Hệ số chuyển đổi...
0858775778